Valve disease
Cases & Resources
-
-
Coronary artery disease
Inotropes in cardiogenic shock: which drug and which dose for which patient?
-
Myocardial dysfunction & atrial disorders
M-TEER: patient selection and timing in heart failure
-
Coronary artery disease
High risk PCI with rotational atherectomy and mechanic circulatory support
-
Coronary artery disease
From shock to surgery: managing ACS complications
-
-
-
Myocardial dysfunction & atrial disorders
Bringing intelligence to decongestion management
-
-
Myocardial dysfunction & atrial disorders
Advances in the management of heart failure: beyond the four pillars?
-
-
Myocardial dysfunction & atrial disorders
Decisions at the edge: from drug escalation to CIED implantations in atypical HFrEF
-
-
-
-
Coronary artery disease
Radiation-Induced Ischemic Heart Failure with Dual CTOs in a Young Lymphoma Survivor
-
Myocardial dysfunction & atrial disorders
When to consider mechanical support in acute heart failure and cardiogenic shock?
-
-
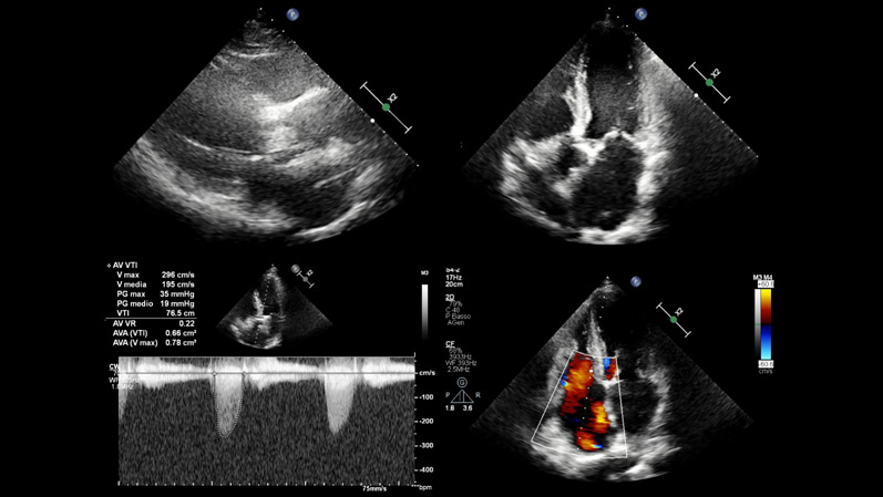
Valve disease
Why and how to look for cardiac amyloidosis before TAVI?
-
-
Coronary artery disease
PCI, ECMO+IABP and mitral repair: interventional treatment in a HFrEF patient
-
Coronary artery disease
How should we manage heart failure treatment before and after revascularisation in case of CCS?
-
Myocardial dysfunction & atrial disorders
From Severe Dilated Cardiomyopathy to Cardiac Recovery
-
-
Myocardial dysfunction & atrial disorders
HFrEF with a Specific Cardiomyopathy: Becker Muscular Dystrophy
-
Myocardial dysfunction & atrial disorders
Acute decompensated Heart Failureꓽ should the focus be solely on the heart?
-
Coronary artery disease
Coronary bypass and mitral repair: surgical treatment in a HFrEF patient
-
Myocardial dysfunction & atrial disorders
Refractory heart failure: combining oral therapy and device is key
-
Myocardial dysfunction & atrial disorders
New onset of heart failure and reduced ventricular ejection fraction
-
Coronary artery disease
When you think that STEMI is all about primary PCI
-
Valve disease
A Bridge too good
